Découverte des milieux naturels exercices corrigés
Chapitre : I
A LA DECOUVERTE D’UN MILIEU NATUREL
(استكشاف وسط طبيعي)
Introduction :
L’atmosphère qui nous entoure, le sol sur lequel nous nous déplaçons, l’eau des rivières ou océans, les animaux et les végétaux ou les constructions de l’homme, sont des éléments de notre environnement. Leurs caractéristiques conditionnent la répartition des êtres vivants.
Problématiques :
- Qu’est-ce qu’un milieu naturel ? quels sont les composantes des milieux naturels ?
- Quelle est l’unité d’organisation des êtres vivants ?
I. Observation d’un milieu naturel
1. Définition de milieu naturel
a. Activité 1 :
Le document ci-contre représente un milieu naturel (un lac), en se basant sur ce document définissez le milieu naturel.

Question :
A partir de l’observation de milieu naturel proposé, définissez le milieu naturel.
Réponse :
Le milieu naturel est un environnement naturel non aménagé par l’Homme où les êtres vivants trouvent nourriture, abri, support…
2. Outils et techniques de découverte d’un milieu naturel
c. Activité 3 :
Pour mieux découvrir un milieu naturel, la sortie dans le milieu peut être le point de départ de toute découverte. Elle met en œuvre des outils (matériels) et techniques à fin de mieux mieux caractériser les composantes du milieu naturel. Le document ci-dessous illustre les outils nécessaire à la découverte d’un milieu naturel :

Question : En se basant sur le document proposé, déterminer le rôle de chaque outil.
Réponses :
| Outils | Rôle et/ou importance |
|---|---|
| Carte topographique | Connaître de relief du milieu et s’orienter dans son espace |
| Boussole | Orientation des cartes |
| Bloc note | Noter des informations sur le milieu |
| Style feutre permanent | Ecrire sur les bouteilles, flacons, … |
| Appareil photo | Prendre des photos d’animaux, végétaux, … de milieu |
| Jumelles | Observation sans dérangement des animaux (oiseaux, mammifères, …) |
| Pelle | Prélever des échantillons de sol, sable, … |
| Loupe | Mieux observer les petits animaux, végétaux, … |
| Boîte | Conservation des échantillons prélevés (eaux, invertébrés, …) |
| Fil | Réaliser des inventaires de plantes |
| Filet fauchoir | Collecter des insectes |
| Ciseau | Capture des coléoptères |
| Pince | Capture des insectes venimeux |
d. Conclusion 2 :
La découverte d’un milieu naturel nécessite des outils et techniques, ces dernières la détermination des composantes et caractéristique du milieu.
3. Diversité des milieux naturels et de leurs composantes
a. Activité 4 :
Dans la nature il existe une multitude de milieux naturels, les images ci-dessous représentent quelques exemples de milieux naturels :

Questions :
- A partir des images ci-contre déterminer la nature de chaque milieu ?
- Citer les différentes composantes d’un milieu naturel ?
Réponses :
1. Détermination de la nature de chaque milieu naturel :
| Milieux naturels | Natures |
|---|---|
| Forêt | Milieu terrestre |
| Marécage | Milieu aquatique (à eau douce) |
| Désert | Milieu terrestre |
| Plage | Milieu aquatique (à eau salée) |
2. Les différentes composantes d’un milieu naturel sont :
| Milieu naturel | Composantes du milieu naturel | Composantes non vivantes | |
|---|---|---|---|
| Composantes vivantes animaux | Composantes vivantes végétaux (plantes) | ||
| Forêt | Hibou | Cèdre | Air Eau Sol Lumière |
| Gazelles | Pin | ||
| Renards | Chêne | ||
| Marécage | Grenouilles | Algues | Air Eau Roches Lumière |
| Hérons | Lentilles d’eau | ||
| Papillons | Nénuphar | ||
| Désert | Fennecs | Tamarix | Air Sable Roches Lumière |
| Scorpions | Palmier dattier | ||
| Serpents | Acacia | ||
| Plage | Crabes – Moule – Tortues | Algues – Mousses | Air – Eau – Sable – Lumière |
b. Conclusion 3 :
Les milieux naturels sont très diversifiés, ils sont constitués de l’association entre composantes vivantes (êtres vivants) et composantes non vivantes.
4. Le sol, un milieu de vie :
En plus des êtres vivants animal et végétal observable à l’œil nu dans les milieux aquatiques et continentaux, il existe d’autres minuscules (microscopiques) êtres vivants dont l’observation nécessite la loupe binoculaire ou le microscope optique ou électronique.
a. Activité 3 : (expérience de Berlese)
→ Placez un échantillon de sol frais à litière dans l’appareil de Berlese (Doc.2)
→ Récupérez l’alcool et placez un échantillon sous la loupe.

Question : Qu’est-ce que dévoile la loupe ?
Réponse :
Le sol contient une diversité d’animaux.
b. Conclusion 4 :
Les animaux du sol sont nombreux et divers : on parle de biodiversité. On conclue que le sol est un milieu de vie (il fournit aux êtres vivants les conditions de vie).
II. La cellule, unité de structure commune à tous les êtres vivants
1. Caractéristiques des êtres vivants
Pour être considéré comme un être vivant, l’animal ou le végétal en question doit être capable de : respirer, se nourrir, se reproduire et croître.
2. Les Types de cellules et leurs caractéristiques
a. Principe de la préparation microscopique
Le microscope optique permet d’observer des éléments de très petite taille que l’on ne peut pas voir à l’œil nu. Pour préparer une observation microscopique on met l’élément à observer sur lame et en ajoute une goutte d’eau et en couvert l’échantillon par une lamelle puis on observe sous microscope à faible grossissement puis à fort grossissement.
b. Activité 5 : (Observation microscopique d’une cellule animale et végétale)
Doc. 5 : Tableau des manipulations d’observation des cellules animale et végétale
| Cellule | Manipulation | Observation | dessin |
|---|---|---|---|
| Cellule animale | Dans un tube à essai on met un peu d’eau prélevée d’un lac (ou d’un cours d’eau) et des morceaux de plantes diverses (persils, cresson…). Une semaine après, un voile (une couche) se développe à la surface de l’eau. On prend à l’aide d’une pipette un peu de voile entre lame et lamelle, puis on observe sous le microscope optique en utilisant des colorants
| L’observation microscopique de l’eau stagnant montre la présence d’êtres vivants formés d’une seule cellule avec des cils sur toute la membrane leur permettent de bouger avec un grain sombre au centre.
| Voir feuille de dessins |
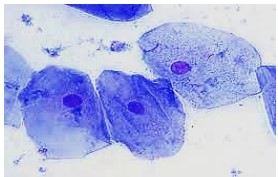
| Cellule animale | – Mettre sur une lame une goutte d’eau. – Racler doucement la face interne de la joue à l’aide d’un écouvillon stérile. – Délayer l’écouvillon dans la goutte d’eau et le jeter dans la poubelle réservée aux déchets. – Recouvrir délicatement la préparation d’une lamelle. – Observer et utiliser des colorants (Bleu de méthylène (toxique pour les cellules): colore les noyaux et les bactéries) | L’observation microscopique l’épiderme buccal humain (de la face interne de la joue) montre qu’il est constitué d’un grand nombre d’unités identique de forme sphérique avec un grain sombre au centre (noyau)
| Voir feuille de dessins |
| Cellule végétale | Découper un morceau d’oignon à l’aide d’un scalpel, puis avec la pince à épiler prélever une fine peau qui était située à l’intérieur de l’oignon, La disposer sur la lame et y ajouter du bleu de méthylène, y apposer la lamelle, puis observer sous microscope optique. | L’observation microscopique l’épiderme d’oignon montre qu’il est constitué d’un grand nombre d’unités similaires de forme hexagonale avec un grain sombre au centre (noyau).
| Voir feuille de dessins |
c. Conclusion 5 :
➔ La cellule : unité de structure de tous les êtres vivants.
➔ Tout être vivant est constitué de cellules.
➔ Certains êtres vivants ne sont formés que d’une seule cellule (comme les paramécies); d’autres d’un nombre très important de cellules.
➔ Les cellules sont délimitées par une membrane plasmique et contiennent à l’intérieur du cytoplasme et un noyau
III. Conclusion générale

Exercice 1:
Complétez le tableau ci-dessous en définissant les termes principaux abordés dans le cours.
| Terme | Définition |
|---|---|
| Milieu naturel | |
| Composantes vivantes | |
| Composantes non vivantes | |
| Biodiversité | |
| Cellule | |
| Appareil de Berlese |
| Terme | Définition |
|---|---|
| Milieu naturel | Environnement naturel non aménagé par l’Homme où les êtres vivants trouvent nourriture, abri, support… |
| Composantes vivantes | Éléments vivants d’un milieu naturel (animaux, végétaux, micro-organismes) |
| Composantes non vivantes | Éléments physiques et chimiques d’un milieu naturel (air, eau, sol, lumière, roches…) |
| Biodiversité | Diversité des êtres vivants dans un milieu naturel. Le sol contient une grande biodiversité d’animaux microscopiques. |
| Cellule | Unité de structure commune à tous les êtres vivants, délimitée par une membrane plasmique et contenant un cytoplasme et un noyau. |
| Appareil de Berlese | Dispositif utilisé pour extraire et étudier la microfaune du sol (petits animaux vivant dans le sol). |
Concepts clés à retenir:
- Un milieu naturel est constitué de l’association entre composantes vivantes et non vivantes
- Les milieux naturels sont très diversifiés (forêt, désert, marécage, plage…)
- La découverte d’un milieu naturel nécessite des outils spécifiques (boussole, filet, loupe…)
- Le sol est un milieu de vie qui abrite une grande biodiversité
- La cellule est l’unité de base de tous les êtres vivants
Exercice 2:
Complétez le texte ci-dessous en utilisant les mots suivants :
cellule, biodiversité, microscope, milieu naturel, composantes vivantes,
composantes non vivantes, appareil de Berlese, paramécies, membrane plasmique, noyau
Un est un environnement naturel non aménagé par l’Homme. Il est constitué d’une part des (animaux, végétaux) et d’autre part des (air, eau, sol, lumière). Le sol abrite une grande diversité d’êtres vivants, on parle de .
Pour étudier les petits animaux du sol, on utilise l’.
Tous les êtres vivants sont constitués de .
Certains êtres vivants comme les ne sont formés que d’une seule cellule. La cellule est délimitée par une et contient un .
Pour observer les cellules, on utilise un .
🔒 Abonnez-vous pour accéder à la correction détaillée en texte .
Exercice 3:
Indiquez si les affirmations suivantes sont vraies ou fausses en cochant la case appropriée.
🔒 Abonnez-vous pour accéder à la correction détaillée en texte .
Exercice 4 : Définition des concepts
🔒 Abonnez-vous pour accéder à la correction détaillée en texte .
Exercice 5 : Outils d’exploration
- Loupe
- Filet fauchoir
- Boussole
- Pelle
- Appareil photo
Utilisations: 1. Orientation – 2. Collecte d’insectes – 3. Observation des petits organismes – 4. Prélèvement d’échantillons de sol – 5. Documentation visuelle
🔒 Abonnez-vous pour accéder à la correction détaillée en texte .
Exercice 6 : Classification des milieux
- Forêt tropicale
- Récif corallien
- Estuaire
- Désert
- Marais
- Océan
🔒 Abonnez-vous pour accéder à la correction détaillée en texte .
Exercice 7 : Composantes des milieux
- 3 composantes vivantes animales
- 3 composantes vivantes végétales
- 3 composantes non-vivantes
🔒 Abonnez-vous pour accéder à la correction détaillée en texte .
Exercice 8 : Expérience de Berlese
🔒 Abonnez-vous pour accéder à la correction détaillée en texte .
Exercice 9 : La cellule
Indiquez:
- 2 points communs
- 2 différences
🔒 Abonnez-vous pour accéder à la correction détaillée en texte .
Exercice 10: Influence de l’humidité sur les escargots
On compte régulièrement le nombre d’escargots dans un milieu naturel à la même heure. On note également la valeur de l’humidité de l’air. Les résultats sont présentés dans le document 1 ci-dessous.
Document 1: Inventaire d’escargot et taux d’humidité du milieu étudié
Le nombre de signes + indique le niveau d’humidité de l’air (+: moins humide / ++++: très humide)
| Date | Nombre d’escargots | Humidité de l’air |
|---|---|---|
| 10 septembre | 0 | + |
| 12 septembre | 10 | +++ |
| 14 septembre | 12 | ++++ |
| 16 septembre | 6 | ++ |
| 18 septembre | 12 | ++++ |
| 20 septembre | 0 | + |
🔒 Abonnez-vous pour accéder à la correction détaillée en texte .
Exercice 11 : Les milieux naturels
Les milieux naturels sont très divers, mais ils sont formés des mêmes composants.

| Êtres vivants Animaux | Êtres vivants Végétaux | Constituants non vivants | L’état physique |
|---|---|---|---|
| …… …… …… …… | …… …… …… | …… …… …… | …… …… …… |
🔒 Abonnez-vous pour accéder à la correction détaillée en texte .
Exercice 12 : Les êtres vivants autour d’une mare
Le document ci-dessous présente shématiquement un des milieux naturels, à savoir le Sahara (milieu saharien ou désertique).
Doc 1 : Les êtres vivant autour d’une mare en été

| Êtres vivants Animaux | Êtres vivants Végétaux | Constituants non vivants |
|---|---|---|
| …… …… …… …… | …… …… …… | …… …… …… |
🔒 Abonnez-vous pour accéder à la correction détaillée en texte .
Exercice 13: Unité de structure des êtres vivants
Le document ci-contre présente l’unité de structure commune à tous les êtres vivants.
Document : Structure cellulaire

Indiquer le nom des éléments du document proposé :
1. ……
2. ……
3. ……
4. ……
5. ……
🔒 Abonnez-vous pour accéder à la correction détaillée en texte .
Exercice 14 : Observation microscopique
Le document ci-contre présente une vue d’une préparation microscopique.

Observation microscopique
🔒 Abonnez-vous pour accéder à la correction détaillée en texte .
Découverte des milieux naturels exercices corrigés




